
나이가 들면서 잇몸 건강에 대한 고민이 깊어지는 것은 자연스러운 일입니다. 특히 잇몸이 소실되거나 내려앉는 '잇몸 퇴축' 현상은 많은 분들을 걱정하게 만드는데요. 한번 소실된 잇몸은 자연적으로 회복되기 어렵다는 이야기에 좌절하는 분들도 많으실 겁니다. 하지만 현대 치의학은 놀라운 발전을 거듭하며 잇몸 소실 문제를 해결할 다양한 방법을 제시하고 있습니다.
오늘은 잇몸 소실이 일어나는 원인부터 현대 치의학이 제공하는 다양한 재건 술식, 그리고 무엇보다 중요한 예방 및 관리 방법에 대해 자세히 알아보겠습니다. 건강한 잇몸은 아름다운 미소뿐만 아니라 전신 건강에도 중요한 역할을 합니다. 이 글을 통해 잇몸 건강에 대한 궁금증을 해소하고, 적극적으로 관리하는 데 도움이 되시길 바랍니다.
함께 보면 좋은 사이트
잇몸 건강 및 치과 치료에 대한 더 많은 정보는 아래 사이트들에서 확인하실 수 있습니다.
대한치주과학회는 치주질환에 대한 전문적인 정보를 제공하며, 환자를 위한 다양한 자료를 찾아볼 수 있습니다.
헬스조선에서는 구강 건강을 포함한 다양한 건강 정보를 얻을 수 있습니다. 유익한 건강 상식을 얻어가세요.
구강 위생 관리에 도움이 되는 제품 정보를 찾아보고, 올바른 구강 관리 습관을 형성하는 데 참고하세요.
잇몸 소실은 왜 발생할까요?
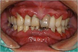
잇몸이 소실되는 가장 흔한 원인은 바로 **치주 질환**입니다. 치주 질환은 치아 주위 조직에 염증이 생기는 질환으로, 초기에는 잇몸이 붓고 피가 나는 치은염으로 시작해, 점차 잇몸뼈까지 녹아내리는 치주염으로 발전합니다. 치주염이 심해지면 잇몸이 내려앉아 치아 뿌리가 노출되고, 결국 치아를 지지하는 잇몸뼈가 소실되어 치아가 흔들리거나 빠질 수도 있습니다.
잘못된 양치 습관도 잇몸 소실의 주범이 될 수 있습니다. 너무 세게 칫솔질을 하거나, 뻣뻣한 칫솔모를 사용하는 경우 잇몸에 과도한 자극을 주어 잇몸 퇴축을 가속화할 수 있습니다. 또한, 치아 교정 후나 노화로 인한 자연스러운 잇몸 퇴축도 무시할 수 없는 원인 중 하나입니다.

이갈이, 이를 악무는 습관, 부정교합 등 치아에 비정상적인 힘을 가하는 습관도 잇몸에 무리를 주어 잇몸 소실을 유발하거나 악화시킬 수 있습니다. 이러한 습관들은 잇몸 조직에 지속적인 스트레스를 가하여 염증을 유발하고 잇몸이 약해지도록 만듭니다. 자신의 구강 습관을 점검해보는 것이 중요합니다.
흡연이나 당뇨병과 같은 전신 질환 또한 잇몸 건강에 부정적인 영향을 미칩니다. 흡연은 잇몸의 혈액순환을 방해하고 면역력을 저하시켜 치주 질환의 발생 위험을 높이고 진행 속도를 빠르게 합니다. 당뇨병 환자는 면역력이 약해져 잇몸 염증에 더욱 취약하므로 각별한 주의가 필요합니다.


현대 치의학의 잇몸 재건술: 어떤 방법들이 있나요?
잇몸이 소실된 경우, 현대 치의학은 다양한 방법으로 잇몸을 재건하거나 그 기능을 회복시키는 데 도움을 줍니다. 주요 술식으로는 크게 잇몸 조직을 재건하는 **치은 이식술**과 잇몸뼈를 재건하는 **골 이식술(치조골 이식술)**, 그리고 **조직유도재생술(GTR)** 등이 있습니다.
첫 번째로, **치은 이식술**은 잇몸이 부족하여 치아 뿌리가 노출되거나 시린 증상이 있을 때 주로 시행됩니다. 환자 본인의 입천장이나 다른 부위에서 건강한 잇몸 조직을 채취하여, 잇몸이 소실된 부위에 이식하는 방법입니다. 이를 통해 노출된 치아 뿌리를 덮고 잇몸의 높이와 두께를 회복하여 심미적인 개선뿐만 아니라 시린 증상 완화에도 도움을 줍니다.

치은 이식술에는 여러 종류가 있습니다. **유리치은이식술(FGG)**은 상피층과 결합조직을 포함한 잇몸 조직을 통째로 이식하는 방법으로, 주로 잇몸의 두께를 증가시키는 데 사용됩니다. 반면, **결합조직이식술(CTG)**은 상피층을 제외한 결합조직만을 이식하여 보다 자연스러운 잇몸 라인을 형성하고 치아 뿌리를 효과적으로 덮는 데 유리합니다.
두 번째는 **골 이식술**, 즉 **치조골 이식술**입니다. 이는 치주 질환이나 치아 상실 등으로 인해 잇몸뼈가 부족해진 경우에 시행됩니다. 특히 임플란트를 식립하기 전에 충분한 잇몸뼈가 없으면 임플란트가 단단히 고정될 수 없으므로, 골 이식술을 통해 뼈를 재건하는 것이 필수적입니다. 자가골(환자 본인의 뼈), 동종골(다른 사람의 뼈), 이종골(동물의 뼈), 합성골(인공뼈) 등 다양한 종류의 이식재가 사용될 수 있습니다.
골 이식술은 잇몸을 절개하여 뼈가 부족한 부위에 이식재를 채워 넣고, 필요에 따라 차폐막(멤브레인)을 덮어 뼈 생성을 유도하는 방식으로 진행됩니다. 잇몸뼈가 충분히 형성되면 임플란트 식립이 가능해져 치아의 기능과 심미성을 회복할 수 있습니다. 잇몸뼈가 부족한 상태에서 임플란트를 강행할 경우 실패율이 높아질 수 있으므로, 전문가와 충분히 상담하여 적절한 치료 계획을 세우는 것이 중요합니다.
세 번째는 **조직유도재생술(GTR; Guided Tissue Regeneration)**입니다. 이 술식은 치주 질환으로 인해 파괴된 잇몸 조직과 잇몸뼈의 재생을 유도하는 것을 목적으로 합니다. 특수한 차폐막을 이용하여 잇몸 상피세포가 뼈가 재생되어야 할 부위로 침투하는 것을 막아, 잇몸뼈와 치주인대, 백악질 등 치주 조직의 재생을 유도합니다. 이 방법은 자연치아를 최대한 보존하고자 할 때 매우 효과적인 치료법입니다.
조직유도재생술은 잇몸의 깊은 골 파괴가 있는 경우, 즉 잇몸뼈가 수직적으로 손상된 경우에 특히 유용합니다. 차폐막은 흡수성 재료와 비흡수성 재료가 있으며, 환자의 상태와 치료 목적에 따라 적절한 재료를 선택하여 사용합니다. 이 술식은 고도의 기술과 경험이 요구되므로, 반드시 숙련된 치주과 전문의와 상담하여 치료를 결정해야 합니다.
최근에는 **골유도재생술(GBR; Guided Bone Regeneration)**과 함께 사용되는 경우도 많습니다. 이는 잇몸뼈 재생에 초점을 맞춘 술식으로, 임플란트 식립 시 부족한 뼈를 확보하기 위해 사용됩니다. 뼈 이식재와 차폐막을 이용하여 뼈 생성을 유도하는 방식으로, 잇몸뼈의 양과 질을 향상시키는 데 기여합니다.
잇몸 재건술, 누가 받을 수 있을까요?
잇몸 재건술은 모든 잇몸 소실 환자에게 적용되는 것은 아닙니다. 환자의 잇몸 상태, 전신 건강, 그리고 소실된 잇몸의 양과 형태 등 여러 요소를 종합적으로 고려하여 치료 계획을 수립해야 합니다. 예를 들어, 심한 흡연자나 조절되지 않는 당뇨병 환자는 수술 후 합병증 위험이 높아질 수 있으므로, 충분한 상담과 철저한 관리가 필요합니다.
잇몸 재건술의 성공률을 높이기 위해서는 치료 전 충분한 구강 위생 관리가 필수적입니다. 염증이 심한 상태에서는 수술이 어렵거나 성공률이 낮아질 수 있기 때문입니다. 정기적인 스케일링과 올바른 양치 습관을 통해 구강 내 염증을 최소화하는 것이 중요합니다. 혹시 이갈이와 같은 안 좋은 습관이 있다면 치과에서 이를 교정하는 상담을 받아보는 것도 좋은 방법입니다.
잇몸 소실 예방과 관리: 무엇보다 중요합니다!
잇몸 소실은 한번 진행되면 자연적으로 회복되기 어렵기 때문에, 무엇보다 **예방**이 가장 중요합니다. 평소 올바른 구강 위생 습관을 유지하는 것이 잇몸 건강을 지키는 핵심입니다. 하루 세 번, 식후 3분 이내, 3분 이상 양치질하는 '333 법칙'을 지키는 것은 기본입니다.
특히 50대 이상 연령층에서는 잇몸이 약해지고 퇴축이 시작될 수 있으므로, 더욱 부드러운 칫솔모를 사용하고 너무 강한 칫솔질은 피하는 것이 좋습니다. 치간 칫솔이나 치실을 사용하여 칫솔이 닿지 않는 치아 사이의 이물질과 치태를 제거하는 것도 잊지 마세요. 구강 청결제를 함께 사용하는 것도 좋습니다.
정기적인 치과 검진과 스케일링은 잇몸 건강을 위한 필수 코스입니다. 6개월에서 1년에 한 번 정도 치과를 방문하여 치석을 제거하고 잇몸 상태를 점검하는 것이 중요합니다. 초기 잇몸 질환은 스케일링만으로도 충분히 치료가 가능하며, 조기에 발견하여 치료하면 잇몸 소실을 예방할 수 있습니다.
잇몸 건강에 좋은 음식을 섭취하는 것도 도움이 됩니다. 비타민 C가 풍부한 과일과 채소는 잇몸의 콜라겐 생성을 돕고 면역력을 강화하여 염증 예방에 좋습니다. 칼슘이 풍부한 유제품은 잇몸뼈 건강에 기여하며, 섬유질이 많은 음식은 씹는 과정에서 잇몸을 마사지하고 치아 표면의 플라그를 제거하는 데 도움을 줍니다.